Отбор больных на операцию ТМЛР
Одна из основных задач любого вида лечения больных ИБС состоит в устранении стенокардии. Если этого нельзя достичь медикаментозной терапией, если сохраняется рефрактерная к терапии ИБС, то на первое место выходит хирургический метод лечения ишемии миокарда.
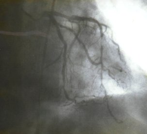
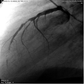
Первичный отбор больных ИБС, рефрактерных к медикаментозной терапии, на операцию ТМЛР осуществлялся по данным коронарографии. Основанием для отбора больных на ТМЛР явилась идентификация множественного поражения коронарных артерий в виде “четок” (рис. 3), диффузного поражения КА с выраженным сужением просвета, либо с полным его закрытием, когда просвет сосуда представлен непроходимыми тяжами, перемежающимися с ”островками” бывшего коронарного русла, заполненного контрастным веществом через коллатерали (рис 4).
Рис. 3. Коронарограмма больного П., 58 лет. Множественные четкообразные поражения ПМЖВ на всем ее протяжении. Видны диффузные изменения ДВ и сосудов системы ОВ
Рис. 4. Коронарограмма больного Б., 42 лет. Боковая проекция (LAO 900). «Островки» бывшего коронарного русла ПМЖВ
Структура поражений коронарных артерий, по данным коронарографии, которые служили показаниями для ТМЛР, представлена на рисунке 5.
Рис 5. Структура поражений коронарных артерий по данным коронарографии
Следует отметить, что наиболее часто (37,5%) имело место сочетание нескольких видов поражения КА, которые не позволяли выполнить прямую реваскуляризацию миокарда.
Для определения показаний к ТМЛР данных одной коронарографии недостаточно. Вторым обязательным условием отбора больных должно быть наличие жизнеспособного миокарда в зонах предполагаемого лазерного воздействия. При планировании больных на ТМЛР получение информации о жизнеспособности миокарда важно одновременно с нескольких позиций:
) Рассчитывать на эффективность ТМЛР можно только при условии наличия жизнеспособного миокарда.
) Определение зон обратимой дисфункции миокарда ЛЖ позволяет наметить зону лазерного воздействия при ТМЛР.
) Поскольку рубцовая ткань не подлежит реваскуляризации, обнаружение рубцовых изменений в миокарде является противопоказанием к ТМЛР.
) Дооперационная топическая идентификация зон с мелкоочаговыми рубцовыми изменениями миокарда позволяет наметить зоны лазерного воздействия. Ориентирование в топике зон рубцового поражения миокарда позволяет предотвратить формирование лазерных каналов в этих зонах и предотвратить расширение этих зон.
Оценку жизнеспособности миокарда мы проводили с помощью следующих методик:
1) добутаминовая стресс-эхокардиография,
2) однофотонная эмиссионная компьютерная томография или планарная сцинтиграфия миокарда.
При первичном отборе больных по материалам коронарографии на возможность выполнения ТМЛР было отобрано больше больных. Однако, по данным ОФЭКТ у 67% пациентов были выявлены обратимые дефекты перфузии, которые визуализировались только на нагрузке и замедленное вымывание РФП в данной области. Во всех этих случаях миокард был расценен как жизнеспособный (ишемизированный) и всем этим больным была рекомендована ТМЛР.
У 33% пациентов были выявлены необратимые дефекты перфузии на исходных и ранних отсроченных изображениях. Всем этим больным было проведено дополнительное исследование с реинъекцией 201Tl, после чего у этих больных дефекты перфузии значительно уменьшились в размерах, что послужило основанием идентифицировать эту зону как мелкоочаговые рубцовые изменения или рубцовые изменения с жизнеспособным ишемизированным миокардом. У 4 больных дефекты перфузии сохранялись и на изображениях, полученных после реинъекции 201Tl. Такой миокард был расценен как нежизнеспособный и соответствовал рубцовому поражению или аневризме ЛЖ. Этим больным было отказано в ТМЛР.